آیا عوارض زندگی در ارتفاع ریشه مشکلات سلامتی در همدان است؟
بزرگترین چالش در محیطهای مرتفع، کاهش فشار بارومتریک است که رابطه مستقیمی با کاهش فشار جزئی اکسیژن دارد؛ این افت اکسیژن، محرک اصلی شروع تمام عوارض مرتبط با ارتفاع است و با افزایش ارتفاع، تعداد مولکولهای اکسیژن در هر تنفس به شکل قابل توجهی کاهش مییابد که این وضعیت را هیپوکسی ارتفاعی مینامند.
هیپوکسی ارتفاعی در واقع وضعیت کاهش اکسیژنرسانی به بافتهای بدن است که برای بقای سلولها ضروری است؛ متضاد این وضعیت، نرموکسی نام دارد که به معنی وجود سطح طبیعی اکسیژن است.
فرایند سازگاری بدن با این کمبود اکسیژن، که همهوایی نامیده میشود، تقریباً بین سه تا پنج روز به طول میانجامد، و عدم رعایت اصل صعود آهسته (افزایش تدریجی ارتفاع) باعث میشود که بدن فرصت کافی برای همهوایی پیدا نکند و احتمال ابتلا به بیماریهای ارتفاع به شدت افزایش یابد.
فشار بارومتریک که همان نیروی وزن جو بر واحد سطح زمین است، با صعود به ارتفاعات پیوسته کاهش مییابد. به عنوان مثال، در ارتفاع ۳۵۰۰ متری، فشار بارومتریک تقریباً ۴۰ درصد کمتر از سطح دریاست که به معنای کاهش مشابه در مولکولهای اکسیژن موجود در هر دم است.
این کاهش فشار جزئی اکسیژن (PO₂) به طور مستقیم هیپوکسی ارتفاعی را رقم میزند. در مقابل کاهش فشار جو، فشار زیاد (مانند شرایط زیر آب) قرار دارد که در غواصی، شرایط متفاوتی را برای گازها ایجاد میکند. مطالعات نشان میدهند که در ۲۴ ساعت اولیه صعود به ارتفاعات، عدم وجود زمان کافی برای همهوایی، سیستمهای حیاتی بدن را به واکنشهای جبرانی وادار میسازد.
عوارض کمبود اکسیژن در ارتفاعات همدان
در پی وقوع هیپوکسی حاد ارتفاعی، سیستمهای حیاتی بدن برای جلوگیری از آسیب بافتی، فوراً مکانیسمهای جبرانی را فعال میکنند.
یکی از مهمترین این پاسخها، تنظیم عملکرد سیستم قلبی-عروقی است که با افزایش محسوس ضربان قلب و تقویت انقباضات میوکارد (عضله قلب) همراه است؛ این افزایش شدید در بروندهی قلبی (حجم خونی که قلب در دقیقه پمپاژ میکند) تلاشی ضروری برای حفظ اکسیژنرسانی به بافتها در شرایط اکسیژن کم است.
بروندهی قلبی در ساعات اولیه صعود افزایش مییابد اما با شروع فرآیند همهوایی، به تدریج به حالت عادی نزدیک میشود. لازم به ذکر است که افزایش ضربان قلب، به عنوان تعداد تپشهای قلب در دقیقه، پاسخی طبیعی است اما متضاد آن برادیکاردی (کاهش غیرطبیعی ضربان قلب) نام دارد.
افزایش ضربان قلب و تقویت انقباض میوکارد به طور مستقیم منجر به افزایش بروندهی قلبی میشود که این وضعیت متأسفانه، حجم کار خود قلب و نیاز آن به اکسیژن را نیز به طرز چشمگیری بالا میبرد.
در سطح عروقی، برای تضمین خونرسانی حیاتی به مغز، عروق مغزی اتساع مییابند، در حالی که رگهای ریوی و محیطی دچار انقباض میشوند. این انقباض عروق ریوی میتواند زمینهساز بروز عوارض حاد و خطرناک مانند ادم ریوی ارتفاع بالا (HAPE) شود.
آیا بیماری کوهستان اهالی همدان را تهدید میکند؟
بیماری مزمن کوهستان یا بیماری مونگ، از عوارض جدی و بلندمدت سکونت در ارتفاعات (بالای ۲۰۰۰ متر) است که ناشی از عدم تطبیق کامل بدن با شرایط هیپوکسی پایدار است. این بیماری یک وضعیت سیستمیک است و علائم آن اغلب شامل سردرد، خستگی مزمن، خوابآلودگی، اختلال خواب و افسردگی است.
آمارهای بینالمللی نشان میدهند که حدود ۱۴۰ میلیون نفر از مردم جهان که در مناطق مرتفع زندگی میکنند، مستعد ابتلا به این عارضه هستند که بخشهایی از جوامع محلی استان همدان را نیز در معرض خطر قرار میدهد.

یکی از مهمترین پیامدهای فیزیولوژیک CMS، بروز پلیسیتمی ثانویه است که در واقع تولید بیش از حد گلبولهای قرمز توسط بدن در پاسخ به کمبود مزمن اکسیژن است. هدف بدن از این سازگاری، افزایش ظرفیت حمل اکسیژن توسط هموگلوبین است؛ اما زمانی که این تولید از حد مجاز فراتر میرود، نتیجه آن افزایش شدید غلظت یا ویسکوزیته خون است.
مفهوم متضاد پلیسیتمی، آنمی (کمخونی) است که در آن، تعداد گلبولهای قرمز یا سطح هموگلوبین برای انتقال اکسیژن کافی نیست.
افزایش بیش از حد گلبول قرمز و در پی آن، افزایش ویسکوزیته خون (غلظت یا چسبندگی خون) باعث میشود که جریان خون به شدت کُند شود. این کندی جریان، توانایی اکسیژنرسانی به بافتها را عملاً کاهش میدهد و یک عامل خطر کلیدی است که احتمال بروز حوادث ترومبوتیک مانند سکتههای قلبی و مغزی را در ساکنان این مناطق افزایش میدهد.
این زنجیره علی و معلولی از هیپوکسی مزمن به پلیسیتمی و سپس به افزایش ویسکوزیته خون، یک چالش جدی در حوزه هماتولوژی در استان همدان محسوب میشود.
در افراد ساکن در ارتفاعات، دو عامل خطرساز همزمان عمل میکنند: هیپوکسی مزمن که باعث افزایش فشار کار میوکارد میشود، و پلیسیتمی ثانویه که غلظت خون را بالا میبرد. این ترکیب باعث افزایش محسوس مقاومت در برابر جریان خون شده و بار مضاعفی بر قلب تحمیل میکند.
در نتیجه، افراد مسن یا کسانی که از قبل دارای بیماریهای زمینهای قلبی-عروقی مانند ناهنجاریهای کرونری یا تنگی آئورت هستند، در صورت ابتلا به CMS، به طور بالقوه در معرض خطر بیشتری برای مرگ ناگهانی قلبی (SCD) یا سکتههای ایسکمیک قرار میگیرند. SCD به معنای از دست دادن ناگهانی عملکرد قلب است.
نکته جالب توجه در این زمینه این است که در حالی که غلظت خون بالا یک ریسک محسوب میشود، نتایج یک مطالعه انجام شده بر روی بیش از ۱۰۰ هزار بیمار سکته مغزی در اکوادور نشان داد که زندگی در ارتفاعات بالاتر (بین ۲۰۰۰ تا ۳۵۰۰ متر) میتواند خطر سکته مغزی و مرگ ناشی از آن را کاهش دهد.
فرضیه این مطالعه آن است که این اثر محافظتی ممکن است به دلیل سازگاری بدن و ایجاد عروق خونی جدید یا شبکه عروقی پیشرفتهتر مغزی باشد که به غلبه بر آسیبهای سکته مغزی کمک میکند.
آیا ادم ریوی ارتفاع بالا ساکنان همدان را تهدید میکند
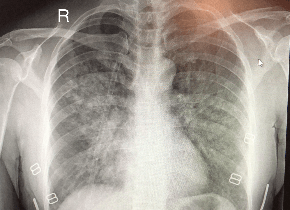
ادم ریوی ارتفاع بالا (HAPE) یک فوریت پزشکی بسیار خطرناک است که معمولاً در افرادی بروز میکند که به سرعت صعود کردهاند، و به دلیل تجمع مایعات در ریهها ایجاد میشود. این وضعیت ناشی از افزایش نفوذپذیری مویرگهای ریه در پاسخ به هیپوکسی شدید است.
علائم کلیدی HAPE شامل تنگی نفس حتی در حالت استراحت، احساس سنگینی و گرفتگی در قفسه سینه، سرفههای مکرر و مهمتر از همه، کبودی لبها (سیانوز) است. سیانوز به تغییر رنگ پوست و مخاط به آبی یا خاکستری اطلاق میشود که نشاندهنده کمبود شدید اکسیژن در خون است. در صورت مشکوک بودن به HAPE، تنها اقدام درمانی قطعی، فرود فوری به پایینترین ارتفاع ممکن است.

تیمهای پزشکی کوهستان میتوانند در شرایطی که فرود غیرممکن است، با اکسیژندرمانی فوری جان بیمار را نجات دهند، اما اشتباهترین کار در این حالت، ادامه صعود است.
ادم مغزی ارتفاع بالا (HACE) حالت پیشرفته و نادر بیماری حاد کوهستان (AMS) است که با تورم مغز ناشی از تجمع مایعات در حفره جمجمه مشخص میشود. این تجمع مایع که به آن ادم وازوژنیک گفته میشود، یک اورژانس پزشکی تهدیدکننده حیات است. علائم HACE شدیدتر بوده و شامل سردرد شدید، گیجی، از دست دادن هماهنگی حرکتی یا آتاکسی (ناتوانی در راه رفتن در یک خط مستقیم) و در موارد حادتر، کاهش هوشیاری و کما است.
بر اساس دکترین مونرو-کلی، جمجمه یک فضای ثابت و غیر قابل ارتجاع است، بنابراین تجمع هر گونه مایع اضافی در آن (ادم) به شدت فشار داخل جمجمهای (ICP) را افزایش داده و خطر فتق مغزی و مرگ را به همراه دارد. HACE در صورت عدم درمان میتواند ظرف ۲۴ تا ۴۸ ساعت کشنده باشد و داروی دگزامتازون میتواند به عنوان درمان حیاتی در حین فرود استفاده شود.
بیماریهای حاد و اورژانسهای ارتفاعی در همدان
استان همدان با مساحت تقریبی ۱۹,۴۹۳ کیلومتر مربع در رشتهکوههای زاگرس مرکزی واقع شده و به دلیل وجود ارتفاعات گسترده، یک منطقه مرتفع به شمار میرود. بلندترین نقطه استان، قله الوند با ارتفاع ۳۵۸۰ متر است که یک کانون اصلی برای فعالیتهای کوهنوردی و بروز بیماریهای حاد ارتفاعی در بازدیدکنندگان به شمار میرود. پستترین نقطه استان در اراضی عمرآباد در بخش شراء و پیشخوار، کنار رود قرهچای قرار دارد.
بسیاری از مناطق مسکونی شهری و روستایی استان همدان در ارتفاعاتی قرار دارند که برای ظهور بیماری مزمن کوهستان (CMS) در طولانی مدت مستعد هستند. ارتفاع بالای ۲۰۰۰ متر به عنوان یک آستانه (آستانه تقریبی) برای افزایش شیوع پلیسیتمی ثانویه ناشی از سکونت مزمن در نظر گرفته میشود.
شهرهای اصلی استان مانند همدان (واقع در دامنههای الوند)، نهاوند (تحت تأثیر کوه گرین)، ملایر (تحت تأثیر کوه لشگر) و تویسرکان (نزدیک به الوند) به دلیل ارتفاع پایه بالا و کوهپایهای بودن، به عنوان مناطق سکونتی با ریسک مزمن بالاتر برای CMS در نظر گرفته میشوند. در این مناطق، تقویت خدمات هماتولوژی و غربالگریهای خونی دورهای برای پیشگیری از عوارض پلیسیتمی حیاتی است.
یکی از جنبههای غیرفیزیولوژیک اما مهم عوارض ارتفاع در همدان، مخاطرات فیزیکی ناشی از نوع کشاورزی محلی است. شهرستانهایی مانند تویسرکان، نهاوند و اسدآباد که به دلیل وجود درختان بلند و عمودی گردو معروف هستند، هر ساله شاهد حوادث و مصدومیتهای جدی ناشی از سقوط از ارتفاع در فصل برداشت هستند. این تروماهای ارتفاعی یک بار سنگین و قابل پیشبینی سالانه بر سیستم درمانی تحمیل میکنند.
آمار پزشکی قانونی نشان میدهد که تنها در پنج ماه ابتدای سال جاری، ۲۴ نفر جان خود را بر اثر سقوط از ارتفاع (شامل سقوط از ساختمان و درخت) از دست دادهاند. این حوادث اغلب نیازمند رسیدگی فوری در بخشهای تخصصی جراحی مغز و اعصاب و تروما هستند و بیمارستان بعثت همدان به عنوان مرکز مرجع ارجاع تروما عمل میکند.
تحقیقات اخیر نشان داده است که سطح سازگاری با ارتفاع بالا تا حدی توسط استعداد ژنتیکی کنترل میشود. استعداد ژنتیکی به تمایل فرد به ابتلا به یک بیماری خاص بر اساس ساختار ژنی اطلاق میشود که متضاد آن مقاومت ژنتیکی است. این یافتهها حاکی از آن است که ژنتیک نقش تعیینکنندهای در میزان خطر ابتلا به CMS در جمعیتهای ساکن در ارتفاع ایفا میکند.
مطالعات انجام شده روی افراد مبتلا به CMS، عملکرد غیرعادی ژنهای ANP32D و SENP1 را نشان داده است. این یافتهها مسیرهای جدیدی را برای توسعه روشهای درمانی هدفمند برای CMS در مناطق کوهستانی مانند برخی جوامع استان همدان باز میکند و نشان میدهد که باید فراتر از ملاحظات زیستمحیطی، به عوامل درونی افراد نیز توجه کرد.
زندگی در ارتفاعات میتواند تأثیرات جالبی بر متابولیسم بگذارد. بر اساس نتایج مطالعات، قرار گرفتن در محیطهای کماکسیژن باعث افزایش هورمون لپتین (هورمون سیری) و کاهش هورمون گرلین (هورمون گرسنگی) میشود که منجر به کاهش اشتها و افزایش متابولیسم بدن و در نتیجه کاهش وزن میشود. این افزایش متابولیسم در واقع ناشی از تلاش بیشتر بدن برای تأمین اکسیژن در هوای رقیقتر و افزایش ضربان قلب است که انرژی مصرفی را بالا میبرد.
برای عوارض زندگی در ارتفاع به چه دکتری مراجعه کنیم؟
در مواجهه با عوارض مرتبط با ارتفاع، تعیین مسیر صحیح ارجاع پزشکی بر اساس نوع عارضه (حاد، مزمن یا تروماتیک) نقش حیاتی در حفظ جان بیماران دارد. مدیریت سلامت در استان همدان با توجه به کمبود تخصص تعریفشده «پزشکی کوهستان»، باید بر اساس یک پروتکل ارجاع پلکانی کارآمد تعریف شود.
عارضههای حاد تنفسی مانند HAPE، نیازمند ارجاع مستقیم به فوق تخصص ریه و دستگاه تنفسی (مانند دکتر رضا وارثی) هستند تا مدیریت دارویی و مراقبتهای بعدی انجام شود. علائم شدید نورولوژیکی یا ترومای ناشی از سقوط (مانانند ضربه مغزی) نیازمند ارجاع فوری به جراح مغز و اعصاب یا متخصص ارتوپدی است.
بیمارستان بعثت شهر همدان به عنوان مرکز ارجاع اورژانسی مجهز و مهم در رسیدگی به موارد پیچیده و اورژانسی، به ویژه تروماهای سقوط از ارتفاع و موارد حاد پزشکی (مانند مرگ مغزی)، عمل میکند. همچنین بیمارستان علیمرادیان نهاوند نقش اساسی در ارائه خدمات اورژانس اولیه در مناطق جنوبی استان قبل از انتقال به مراکز تخصصیتر ایفا میکند. دریافت مشاوره از جراحان مغز و اعصاب در همدان برای مدیریت ترومای سر و جستجوی نوبت فوق تخصص ریه برای موارد حاد تنفسی توصیه میشود.
متخصص داخلی برای بیماری مزمن کوهستان
تشخیص و مدیریت CMS در فاز اولیه به عهده متخصصان داخلی است. این متخصصان نقش کلیدی در ارزیابی علائم عمومی CMS (مانند سردرد و خستگی) و سفارش آزمایشهای خونی جامع برای بررسی سطح هموگلوبین و هماتوکریت (درصد حجم خون که توسط گلبولهای قرمز اشغال شده است) ایفا میکنند.
متخصصین داخلی در شهر همدان (مانند دکتر علی عباسی و دکتر مصطفی انصاری) در خط مقدم تشخیص این عارضه قرار دارند و میتوانند از طریق نوبت دهی آنلاین متخصصین داخلی همدان سایت دکترتو به بیماران خدمات رسانی کنند.
فوق تخصص هماتولوژی برای مدیریت تخصصی پلیسیتمی ثانویه ارتفاعی
از آنجایی که پلیسیتمی ثانویه ارتفاعی یک اختلال خونی با ریسک بالای سکته است، مدیریت طولانیمدت آن باید توسط فوق تخصص خون و انکولوژی (هماتولوژی) انجام شود. این مدیریت شامل روشهایی مانند فلبوتومی (خونگیری درمانی) است که به منظور کاهش حجم گلبولهای قرمز و کاهش ویسکوزیته خون انجام میگیرد. برای پیدا کردن
بیماران مبتلا به غلظت خون بالا برای کاهش ریسک حوادث قلبی-عروقی به این تخصص ارجاع داده میشوند. مراکز درمانی آموزشی دانشگاه علوم پزشکی همدان به عنوان منبع نهایی ارجاع تخصصی برای مشاورههای پیچیده در زمینه CMS و پلیسیتمی ثانویه در نظر گرفته میشوند.